View in browser

Kia Ora Friend 

March - June 2025

We're redefining how we see the brain. Five collaborative research papers were recently published in a special issue of the UK Royal Society's journal Interface Focus, exploring brain motion, fluid dynamics, and their roles in health and disease. 

 

Other research papers include:

  • An analysis of Ultra-High Contrast (UHC)-MRI
  • A comprehensive review on non-invasive MR methods for evaluating glaucoma
  • Proton Poi - weaving mātauranga Māori and MRI physics
  • A kaupapa Māori study exploring healing with psilocybin-containing mushrooms

We showcased 15 abstracts at the premier international MRI conference, ISMRM –  a great opportunity to highlight the breadth and direction of our current research. Recently, a further twelve abstracts have been accepted at upcoming international conferences.

 

Our Team:

 

We warmly welcome two new members to the Mātai whānau: Lyall Evans (Board Member) and Sergio Dempsey (GE HealthCare Clinical Scientist in Gisborne). We also farewell Danielle Wilson (Finance Manager) and Jonty Evans (Intern), and thank them for their contributions.

 

Updates:

 

Thanks to support from the Perpetual Guardian Foundation and Cooper Legacies, over 100 Tairāwhiti men are now part of our MRI-guided prostate cancer pathway.

 

Our UHC-MRI technology is in the spotlight in the latest GE SIGNA Pulse magazine, highlighting how it could transform detection of various neurological disorders. 

 

Education and community outreach:

  • Find out about the work we are doing in multiple sclerosis in an Auckland event held by NZMSRT on June 25.
  • A belated congratulations to 19 local students awarded Mātai School Leaver Scholarships, and thanks to our supporters who make this possible
  • We thank the Sunrise Foundation for setting up a Mātai endowment fund to support long-term research and opportunities for local rangatahi
  • Mātai 2025/26 summer internship applications opened June 16. 

Achievements:

 

We congratulate Paul Condron, Dr. Oka Sanerivi, Prof. Helen Danesh-Meyer, Emeritus Professor Joe Mayhew, and Itamar Terem for their recent achievements.  

 

 

Editors Choice - 3D q-aMRI

We celebrate the recognition of Stanford University collaborator and Mātai visiting scholar, Itamar Terem, whose recent paper on 3D Quantitative-Amplified Magnetic Resonance Imaging (3D q-aMRI) was selected as an Editor's Choice article in the journal Bioengineering. 

 

Ngā Ahurei a Te Apārangi (Royal Society NZ) Fellow Award

We're thrilled to celebrate Mātai Principal Investigator Professor Helen Danesh-Meyer, who has been bestowed the honour of Ngā Ahurei a Te Apārangi Fellow. The award celebrates distinction in research and the advancement of knowledge at the highest international standards.

 

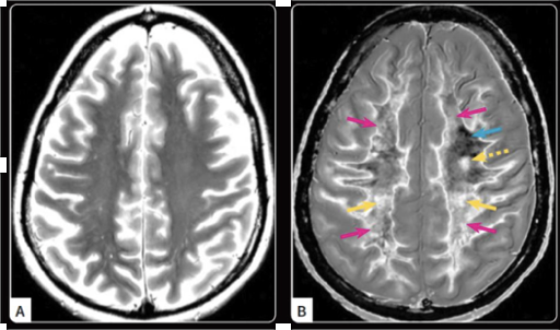
Ultra-high contrast of the brain and spinal cord

MS in remission on standard scan (A), which showed no clear problems. Using UHC (B), the scan revealed subtle signs of MS: a small lesion, changes in key movement pathways, and patches of abnormal white matter.

Ultra-High Contrast (UHC) MRI is a breakthrough technique that dramatically improves visibility in brain disorders. The technique is showing strong promise in transforming how we detect and monitor diseases affecting the brain and nervous system, including mild traumatic brain injury (mTBI), Alzheimer's disease, and early multiple sclerosis (MS).

This innovative method enhances the contrast between healthy and affected tissues by targeting subtle changes in tissue properties, such as T1 relaxation times.

For healthcare professionals, radiologists, and researchers, the latest feature in GE SIGNA Pulse offers an in-depth look at the underlying physics, mathematical modelling, and clinical applications of UHC MRI.

We thank the Mātai UHC-MRI technical team Paul Condron, Dr Mark Bydder, Dr Daniel Cornfeld, and Emeritus Professor Graeme Bydder, for their pioneering contributions to this exciting new method.

 

Scholarship Awards

Thanks to the generous support of our community funders, 19 outstanding school leavers have been awarded Mātai scholarships to support their university studies in science, health, and technology.

2024 Scholarship Recipients: Lena Keenan, Noah Mason, Panth Patel, Holly McIntyre, Theo Mackay, Taitiana Finau, Ky Bartlett, Manaia Mill, Naiya Powley, Roman Seaton, Luka Jones, Kale Te Kira, Ned Clarke, Lucy Murphy, Jarrod Ormiston, Amandine Mariette, Tanay Goldsbury, Tui Cave, and Cheidan-Perenara Moetara.

We extend our gratitude to our 2024 supporters: Turanga Health, Dawson Building Co., QUEST Trust, Mangatawa Beale Williams Memorial Trust, Pultron Composites Ltd, Dr Katharine Holdsworth, and the Holdsworth Family.

 

A trailblazer for Pacific and Aotearoa physiotherapy

The Mātai team is incredibly proud of Dr Oka Sanerivi  – the first Pacific person to earn a PhD in Physiotherapy from the University of Otago. This remarkable achievement reflects Oka's dedication, humility, and deep commitment to his people and the field of health research.

Now a Senior Research Fellow at both Mātai and the University of Otago, Oka has also been appointed Deputy Chair of the New Zealand Physiotherapy Board – a well-deserved recognition of his leadership and drive to advance physiotherapy in Aotearoa. Fa'afetai, Oka, for continuing to lead the way.

 

NZ contributions at ISMRM/ISMRT

Aotearoa New Zealand made its biggest mark yet at the world's leading MRI conference – ISMRM & ISMRT 2025 in Hawai'i – with delegations from Mātai Medical Research Institute, Auckland Bioengineering Institute (ABI), Medical Imaging Research Center (MIRC), Centre for Advanced MRI (CAMRI), Centre for Brain Research (CBR), The University of Auckland (UoA), Pacific Radiology, Wellumio, resonint, Paihau-Robinson Research Institute, Victoria University of Wellington, and a number of NZ MR technologists. 

ISMRT Win

Mātai Charge MRI Technologist Paul Condron was awarded second place in the ISMRT Proffered Clinical Paper Award for the abstract "Ultra-High Contrast (UHC) MRI with bipolar filters: Obvious abnormalities in normal appearing brain, spinal cord and optic nerve".

 

 

Sunrise Foundation - Mātai Endowment Fund

A new endowment fund has been established by the Sunrise Foundation to support the future of medical research and innovation at Mātai. The fund will provide long-term backing for our research and community initiatives, and create opportunities for local rangatahi to take part in science and innovation. Ngā mihi to everyone who helped make this possible. Donate here to contribute to the fund and help shape the future of health research.

 

CNZM - Emeritus Professor Joe Mayhew

Congratulations to local Gisborne hero Emeritus Professor Joe Mayhew, who has been appointed a Companion of the New Zealand Order of Merit (CNZM) in the 2025 King's Birthday Honours for his outstanding contributions to veterinary medicine. A world leader in equine neurology and a long-time champion of clinical training and research, Joe has made a global impact across the UK, US, and New Zealand. Now based in Gisborne, he continues to share his expertise and mentorship with the veterinary and research communities. Ngā mihi nui, Joe – an honour well deserved!

 
 

Intern Report highlights the interaction of hinengaro (the mind), whakaaro (thought), wairua (emotional/spiritual balance).

Hinengaro (the mind), whakaaro (thought), wairua (emotional/spiritual balance), and whanaungatanga (relationships) — interconnected and dynamic.
 
Braden Fowell (left - Ngāti Porou, Ngāti Konohi, Ngāi Tūhoe) explored these connections through his HRC Māori Summer Studentship and as Junior Project Coordinator for the 2024/25 Mātai Summer Internship Programme. Braden worked on Traumatic Brain Injury (TBI) research, and also supported intern Tupuhi Gardner (right - Te Aitanga-ā-Māhaki, Waikato Tainui) in the kaupapa Māori Vitality Study, alongside Rongowhakaata CEO Teina Moetara.
 
Braden's TBI research combines striking brain imaging from the Mātai 3T GE HealthCare MRI scanner with kaupapa Māori perspectives. His work illustrates how traumatic injury can affect brain areas connected to hinengaro, whakaaro, wairua, and whanaungatanga, and how resilience and wellbeing can be upheld through the strength of other neural pathways.

The MRI scans show that an individual may sustain damage – particularly in the right frontal lobe, which is strongly linked to cognition, emotional regulation, and social connection – and still remain highly capable in daily life. However, such injuries can lead to difficulties with memory, mood, and social filtering.

Encouragingly, his findings also highlight robust brain connectivity elsewhere – including a strong corpus callosum – supporting resilience, complex thinking, and adaptability. This highlights how wellbeing can be supported not just by a single region, but by the connections between many pathways, offering hope for maintaining purpose and hauora (wellbeing) over time.

Braden's role as Junior Intern Coordinator and his summer research project at Mātai were supported by Pultron Composites Ltd and the Health Research Council of New Zealand.

 

Advancing brain imaging across the globe

From Brisbane to Kyoto to Montreal, our collaborative research teams (students and scholars from Mātai, University of Auckland, and others) have had abstracts accepted to world-leading conferences including OHBM, ISMRM, and the International Brain Injury Association World Congress. These presentations span a wide range of topics – from glaucoma detection using advanced MRI, to the brain impact of collision sports, to structural brain changes in ADHD and concussion.

Kasa et al. Enhancing Glaucoma Sensitivity: MK-Curve Corrected Diffusion Kurtosis Imaging of Optic Radiation. OHBM, Brisbane, Australia, 2025.

Saludar et al. Multifaceted effects of collision sports participation to the brain: Structural connectivity findings. OHBM, Brisbane, Australia, 2025.

Uren E et al. Investigating diffusion MRI biomarkers and structural connectivity in adults with ADHD. OHBM, Brisbane, Australia, 2025.

Zambo et al. Machine learning based multimodal MRI analysis of brain changes after repetitive subconcussive head impacts. OHBM, Brisbane, Australia, 2025.

Mathew et al. Predicting brain dynamic behaviours from DTI and wearable sensors. OHBM, Brisbane, Australia, 2025. OHBM, Brisbane, Australia, 2025.

Ombid et al. ADHD dynamic dysregulation of dorsal attention, subcortical, and visual networks with Hyperband-fMRI. OHBM, Brisbane, Australia, 2025.

Shen et al. Atlas-Free Semi-Automatic Segmentation of Sheep Cerebrospinal Fluid Space from MRI. IEEE Engineering in Medicine and Biology Society (EMBC), Montreal, Canada, 2025.

Roozbehi et al. A Novel Features-Driven Augmentation of DNA Methylation Microarrays to Enhance Meningioma Brain Tumors Classification Using Transformer Models. IEEE EMBC, Montreal, Canada, 2025.

Sadeghzadeh et al. Single-Scan Machine Learning Prediction of Meningioma Tumor Growth Risk and Progression Using Neurosurgeon-Evaluated MRI and CT Scan Features. IEEE EMBC, Montreal, Canada, 2025.

Tayebi et al. Impact of collision sports participation to the brain microstructure: Longitudinal diffusion MRI findings and symptom correlation. ISMRM diffusion workshop, Kyoto, Japan, 2025.

McGeown et al. Identifying predictors of acute sport-related mTBI using similarity-driven multi-view linear reconstruction of multimodal neuroimaging data. International Brain Injury Association World Congress. Montreal, Canada, 2025.

Saludar et al. Effect of sub-concussive head impacts on the white matter microstructure of contact sports athletes. International Brain Injury Association World Congress. Montreal, Canada, 2025.

Potter L, Hanganga o ngā ahautanga whakmua o te Rangahau Rongoa me ngā Mahi Hou (Shaping the Future of Medical Research and Innovation), OHBM, Brisbane, Australia, 2025.

Mohi W, Unraveling the Impact of Methamphetamine, OHBM, Brisbane, Australia, 2025.

 

UHC-MRI of the Brain, Spinal Cord and Optic Nerves in MS

The Mātai team and collaborators have published a paper on the analysis of UHC-MRI. 

The paper shows the promise of UHC-MRI for detecting subtle brain abnormalities that often go unnoticed on conventional MRI scans. UHC MRI achieves this enhanced contrast by leveraging advanced imaging techniques that exploit tissue properties – particularly T1 relaxation – multiple times within a single sequence. One such method, directly acquired divided subtracted inversion recovery (dSIR), also known as a bipolar filter sequence (BLAIR), provides both high spatial resolution and sharp contrast at tissue boundaries. These sequences, along with synthetic applications to high-quality tissue property maps, have revealed previously unseen abnormalities in a range of neurological conditions, including mild traumatic brain injury, multiple sclerosis, Parkinson's disease, and substance use disorders. dSIR and related sequences are compatible with standard MRI hardware and can be easily integrated into clinical workflows, positioning UHC MRI as a valuable complement to existing imaging protocols.

 

The Pulsing Brain - Royal Society Journal Papers

Play 

The brain doesn't just think – it moves, subtly pulsing with every heartbeat. We're researching  how these tiny movements and fluid shifts may hold the key to understanding brain health, ageing, and disease. These ideas were the focus of the interdisciplinary Royal Society Pulsing Brain meeting, co-chaired by Associate Professor Samantha Holdsworth (Mātai & University of Auckland) in the UK.
 
The outcomes of the meeting were published as a special issue of the Royal Society Interface Focus journal, featuring five major contributions from Mātai, the University of Auckland, GE HealthCare, Ghent University, and international collaborators. This research is redefining what we know about the living, moving brain – and opening up exciting possibilities for diagnosing and treating neurological conditions. 

Introductory papers: Part 1 | Part 2 

A comprehensive review of interdisciplinary methods to assess brain dynamics: This foundational perspective reviews the latest non‑invasive techniques – MRI, ultrasound, and mathematical modelling – to visualise brain tissue movement. It underscores how brain pulsations and fluid flow insights are reshaping our grasp of brain function

How exercise modulates brain motion and cerebrospinal fluid (CSF) flow: Using quantitative amplified MRI (q‑aMRI) and other advanced MRI methods, researchers showed that even mild exercise (like squeezing a handgrip) stabilises brain motion by reducing blood pulsatility but boosting cerebrospinal fluid movement. This finding points to exercise as a regulator of brain fluid dynamics, with clinical implications for concussion, brain pressure, and long-term neurological health. 

Amplified MRI and dynamic mode decomposition to visualise brain pulsations dynamically: This research combines amplified MRI with DMD, a method for extracting dynamic spatial patterns. It reveals heartbeat‑linked brain movements with greater clarity, potentially advancing concussion and brain pressure monitoring. 

Pulse wave velocity in the brain as a marker for vascular health: 4D flow MRI was used to measure pulse wave velocity (PWV) in brain arteries across different ages. The surprising result: PWV remained stable in healthy individuals, challenging the assumption that vascular stiffening is an inevitable part of brain ageing. 

Amplified MRI used to simulate CSF flow with computational modelling: By blending aMRI data with fluid dynamics models, this study enhanced predictions of cerebrospinal fluid movement – offering new diagnostic potential for fluid‑flow disorders such as hydrocephalus and intracranial hypertension. 

 

Application of advanced diffusion MRI based tractometry of the visual pathway in glaucoma: A systematic review

Glaucoma is a leading cause of blindness globally. Recent advancements in magnetic resonance imaging (MRI) offer promising non-invasive methods for evaluating glaucoma, including advanced diffusion MRI (dMRI) and computational techniques. Mātai Research Fellow Dr Loxlan Kasa and Stephanie Donavan (University of Auckland) and team published a review exploring dMRI and models for quantifying visual pathway microstructure in glaucoma. His work aims to serve as a practical reference for researchers using dMRI in vision science.

Using advanced MRI to analyse the brain's visual pathways, we can track specific nerve fibers, like the optic radiation, and measure their structural integrity at multiple points to detect changes associated with glaucoma. This approach could enable earlier detection and more precise monitoring of glaucoma by revealing subtle brain changes before noticeable vision loss occurs.

 

Spinning Science: Poi Choreography and MRI Physics

The innovative Proton Poi project by PhD candidate Gina Waters blends mātauranga Māori (Māori knowledge systems) with MRI physics and her research. Waters created Proton Poi, a waiata and poi choreography that symbolically mirrors MRI processes. Through rhythm, spin, and movement, the performance communicates key MRI concepts like proton spin and magnetic pulse, linking them to traditional Māori practices such as karanga and kapa haka. This creative integration of Indigenous knowledge and science deepens engagement with community and provides a culturally resonant lens for understanding health technology.

 

Mild traumatic brain injury increases cortical iron: evidence from individual susceptibility mapping

A study led by doctoral candidate Christi Essex and Dr Mangor Pedersen from AUT has identified a potential biomarker of mild traumatic brain injury (mTBI) based on subtle increases in iron in specific brain regions. See Paper and Story.

 

Tū Wairua: Development of an Indigenous Rongoā Māori approach to healing with psilocybin-containing mushrooms 

A transformative research project is exploring the use of psilocybin-assisted therapy (PAT) for methamphetamine harm reduction in Māori communities. Grounded in Kaupapa Māori and based at Rangiwaho Marae, the study weaves together mātauranga Māori and rongoā Māori (traditional healing) with the therapeutic potential of indigenous mushrooms.

Congratulations to the Tū Wairua research team: Anna-Leigh Hodge (Ngāti Wai, Te Rarawa), Anna Forsyth, Tehseen Noorani, Suresh Muthukumaraswamy, Anna Rolleston (Ngāti Ranginui, Ngāi Te Rangi, Ngāti Pukenga), and Patrick McHugh representing the University of Auckland, The Centre for Health, Mātai and Turanga Health;  and to Rangiwaho Marae, and to the participants and whānau who brought this kaupapa to life.

 

UPCOMING - NZMSRT - Celebrating 10 years of Multiple Sclerosis research

On June 25, in Auckland, Mātai Clinical Lead, Dr Daniel Cornfeld, will discuss MS research being jointly funded by the NZ Multiple Sclerosis Research Trust and the JN & HB Williams Foundation. Dr Benson Chen senior research fellow at the University of Auckland, and Neurologist at Auckland Hospital with a special interest in MS and diseases of the optic nerve will speak on: "What's in a Name? An Eye on MS, MOGAD and NMOSD".

The event celebrates 10 years of MS research in NZ. For full details, click button below. 

Details & Registration
 

Tairāwhiti Medical Society event at Mātai

The evening provided an opportunity for Mātai to connect with the Tairāwhiti medical community.  A special thank you to Dr Vipul Shah, Dr Osman Mansoor, and Dr Isaac Carrejo-Campbell for organising the evening. Keynote speaker Professor Karen Waldie spoke on "ADHD: What we know, what we don't, and why we should care". This was followed by power pitches  by Paul Condron, and Mātai-based PhD students Katie Blackburne, Jet Wright, and Dr Tim Salmond, who spoke about their research projects.

 

Māori Addictions Forum Annual Wānanga

Mātai was proud to host the Māori Addictions Forum Annual Wānanga hosted by Tairāwhiti AOD Network Forum. This powerful kaupapa brought together Māori leaders, kaimahi, researchers, and community advocates to kōrero, connect, and strengthen our collective approach to addiction, healing, and whānau wellbeing. A huge mihi to Hine Haig and Julia Wanoa of Ngāti Porou Oranga as well as everyone who shared their mātauranga, passion, and aroha throughout the wānanga.

 

Sideline Concussion Management Workshop

The concussion team delivered a workshop on sideline management of concussion. We had a great turnout with a mix of community members, coaches, mental health workers, and parents all coming together to learn and share.

 

Pushing the boundaries of Ultra-High Contrast MRI

We welcomed Dr Mark Bydder, Mātai Senior Research Fellow, for his first in-person talk at Mātai. Mark delivered a ground-breaking presentation on innovations in ultra-high contrast (UHC) MRI, a rapidly advancing imaging method that's opening new possibilities for detecting subtle changes in the brain. His talk highlighted cutting-edge developments and collaborative efforts aimed at pushing the limits of what MRI can reveal. Mark alongside the UHC-MRI technical team is helping to drive a powerful technical collaboration focused on expanding the potential of UHC MRI. This work is already showing exciting promise in picking up subtle pathology that conventional imaging might miss – with broad implications for earlier diagnosis, better disease tracking, and more precise treatment strategies. We're proud to be part of this world-class effort and look forward to what's ahead.

 

GammaStar Configured on GE 3T: Prof. Günther's Visit to Mātai

We were delighted to host Professor Matthias Günther (University of Bremen, Germany), and his team, including Dr Daniel Christopher Hoinkiss and Dr Jörn Huber, for a hands-on visit to Mātai, where they successfully configured GammaStar, a vendor-agnostic MRI software, on our 3T GE system. Thanks to their host Dr Catherine Morgan (University of Auckland), who helped bring Prof. Günther to Aotearoa New Zealand through an MBIE Catalyst fund. During his visit, Prof. Günther delivered a fascinating talk: "Measuring Brain Physiology with Arterial Spin Labelling Magnetic Resonance Imaging (ASL)".

 

Friend's of Mātai Events

The Mātai team would like to extend their warmest thanks to the Friends of Mātai Committee, chaired by Anna Holdsworth. On March 13 our Auckland Friends Committee member Susannah Robinson, alongside her husband Paul Robinson generously hosted an event in their home for 60 of our Auckland donors and supporters. It was an opportunity to update people on the pivotal advancements that the Friends had helped enable in terms of the team's Ultra-High Contrast MRI method development and others. Dr Samantha Holdsworth and Philanthropy Director Lisa Bates later presented an update to our valued Hawkes Bay supporters at the gorgeous home of Greg and Bettina Driscoll (Hawkes Bay Friends Committee Member). It was terrific to see the enthusiasm with which Mātai developments have been received. We are so grateful to our all the wonderful donors from these events, please feel free to join this important group of supporters by making a donation or pledge.    

 

King's College

Associate Professor Samantha Holdsworth delivered a talk at the Floreat Semper Lunch at King's College, and also had the opportunity to reconnect with her inspirational former physics teacher Mr Harold Russ.

 

 

Living our values at Mātai

We recently had the privilege of hosting Anna Holdsworth, Head of People and Culture at Pultron Composites, who generously led a values workshop with the Mātai team. With over 20 staff and students involved, it was an energising session to connect, reflect, and explore what truly matters in how we work together across all areas of Mātai — from research and clinical work to education and operations. Anchored in our three core values — Manaakitanga | Care, Kotahitanga | Togetherness, and Bold — Anna helped us unpack how these principles guide what we do and how we do it. We came away with a clearer, more grounded sense of who we are and how we want to show up — for our work, for each other, and for the communities we serve. A huge thank you to Anna for her insight and generosity, and to everyone who brought their full, fun, and thoughtful selves to the kōrero.

 

Lyall Evans

Board Member

 

Lyall (left, with his son) brings over four decades of leadership in financial governance, agribusiness, and rural community development, all grounded in deep ties to the Tairāwhiti region. As a Fellow Chartered Accountant and former Director of BDO Gisborne, Lyall has championed trust governance, succession planning, and mentoring across Aotearoa. He is also a dedicated community advocate, with life membership in both the Wainui Surf Life Saving Club and Gisborne Volunteer Coastguard, and service across health, sport, and education boards including Trust Tairāwhiti and Whiti Ora.

Lyall's leadership and strong regional focus make him an excellent fit for our Board as we continue to grow our work in Tairāwhiti Gisborne and beyond.

 

Sergio Dempsey

Clinical Scientist – Mātai/GE HealthCare

We welcome Sergio Dempsey as our new GE Clinical Scientist based at Mātai. Sergio is a biomedical engineer, with a strong background in MRI post-processing software development. He developed and validated a 4D flow MRI package used by international research groups.

Based in Gisborne, Sergio works closely with the clinical and research teams to advance MRI technologies and contribute to innovative imaging research. He has contributed to several Mātai research projects, and his recent PhD focused on MRI methods for the early detection of dementia and vascular disease. Sergio's appointment strengthens our collaboration with GE HealthCare around delivering cutting-edge imaging solutions.

 

FAREWELL

Danielle Wilson, Finance Manager

 

We bid farewell to our Finance Manager, Danielle Wilson. Danielle is moving forward to an exciting position at the NZ HealthGroup. She made a significant impact across a wide range of areas –  from strengthening our financial systems and data processes, to contributing to high-level board reporting and business case development. Danielle, we hope NZ HealthGroup know what a gem they're getting! We are grateful for all that you've contributed and wish you all the very best in your exciting next chapter. 

Jonty Evans, Intern

 A thank you to Jonty Evans, who recently wrapped up a 5-week internship at Mātai under the guidance of Leigh Potter, to shape a business case for a tailored MRI service. Jonty, we've really appreciated your energy, fresh perspective – and we hope this is just the beginning of your connection with Mātai.

 

 

 
Play 

Radiologist opportunity in Tairāwhiti – make a real impact

Looking for more than just a job? Join the team in Tairāwhiti, where you can make a meaningful clinical difference while living in one of Aotearoa's most vibrant coastal communities.

✨ Deliver care where it's needed most
✨ Collaborate with Mātai Medical Research Institute on cutting-edge research
✨ Enjoy a lifestyle rich in culture, nature, and whānau

Contact Christina.Cullen@tdh.org.nz

Please feel free to pass this on to colleagues or friends who may be interested

 

(Top left) It was a pleasure to again host Emeritus Professor Graeme Bydder and Dr Mark Bydder, visiting from the UK, to work with the team on UHC. We were also joined by Dr Kyle Kain, GE scientist, who presented to the team on Magnetic Resonance-Guided Focused Ultrasound (MRgFUS), and Karen Whitehead (Gisborne MS Society). L-R Mark Bydder, Graeme Bydder, Paul Condron, Kyle Kain, Karen Whitehead, Taylor Emsden. (Top right) It was a pleasure to host Nick Moyes (Jasmax) who gave wonderful ideas for the Mātai campus.

(Middle left): Artists Matty Clarke (far left) and Evan Woodruffe (centre), with the Mātai team. (Middle right): Labour MP, Hon. Jo Luxton.

(Bottom): Leigh Potter, Dr Catherine Morgan, Taylor Emsden, Dr Samantha Holdsworth, Prof Matthias Gunther, Elizabeth Gunther, Dr Jörn Huber, Dr Daniel Hoinkiss.

 

NZ leads breakthroughs in MRI brain research

As the heart beats, the brain pulses, too, making micro-movements not visible to the naked eye.

Story available to NZ Herald subscribers
 

Concussion is more than just a sports injury  – it's a major public health challenge

TheIn the latest issue of Headlines by the Neurological Foundation, researchers across Aotearoa are using advanced MRI, cell biology, neuropathology, and other tools to uncover subtle brain changes following mild traumatic brain injury (mTBI). 

 

Read the full story here
 

Protecting our rangatahi – Expert voices on the dangers of 'RUNIT'

The tragic death of a teenager following the controversial high-impact schoolyard game Runit has sparked urgent safety concerns across Aotearoa. Experts in emergency medicine, neuroscience, and injury prevention – including Mātai Senior Research Associate Dr Josh McGeown – are calling for action. This expert commentary, released by the Science Media Centre, highlights the pressing need for informed, community-wide kōrero on youth safety and wellbeing.

 

Read the full story here
 

Prostate cancer funding pathway helps 100 Gisborne men

A contribution of $50,000 and a further $50,000 pledge from the Perpetual Guardian Foundation's Medical Research Fund, underpinned by two legacies supports the diagnostic approach to prostate cancer diagnosis...

Read the full story here
 

Breaking boundaries in physiotherapy 

Health practitioner and academic, Dr Oka Sanerivi, is breaking boundaries in physiotherapy by weaving Samoan traditions into clinical care. He spoke with PMN's Vaimaila Leatinu'u about his groundbreaking thesis.

Watch Here
 

Mātai leads neuro-disease innovation

Te ao Māori News highlights how our team is using advanced amplified MRI (aMRI) technology to improve early detection of neurological disease.

Watch here (Te red)
 

New fund supports Mātai Institute's future

A new endowment fund has been established with Sunrise Foundation to support the medical research and innovation at Mātai

Read the full story here
 
 

Acknowledgements

We would like to acknowledge, with appreciation, our supporters who made the establishment of Mātai possible, including Kānoa - RDU, Hugh Green Foundation, Trust Tairāwhiti, the Mangatawa Beale Williams Memorial Trust, the JN and HB Williams Foundation, the University of Auckland, GE Healthcare, Peter and Bronwen Holdsworth Family, Pultron Composites Limited, the Lotteries Significant Projects Fund, Fred Lewis Enterprise Foundation, Anonymous Donor, the QUEST Trust, Turanga Health, Friends of Mātai, local iwi, and many others.

 

Copyright © 2023 Mātai Medical Research Institute Inc. All rights reserved.

You are receiving this email because you opted in via our website.

 

Physical Address:

Mātai Medical Research Institute

466 Childers Road

Gisborne, 4010

New Zealand

 

Mailing Address:

Mātai Medical Research Institute

PO Box 359

Gisborne, 4040

New Zealand

FacebookTwitterInstagramLinkedInYouTube

unsubscribe